服务电话(移):17319309550
Prestige Antibodies® Powered by Atlas Antibodies, affinity isolated antibody, buffered aqueous glycerol solution, Ab2
Prestige Antibodies® Powered by Atlas Antibodies
primary antibodies
human
rabbit
polyclonal
unconjugated
immunohistochemistry: 1:50- 1:200
human ... OLFML2A(169611)
Q68BL7
Solution in phosphate-buffered saline, pH 7.2, containing 40% glycerol and 0.02% sodium azide
All Prestige Antibodies Powered by Atlas Antibodies are developed and validated by the Human Protein Atlas (HPA) project and as a result, are supported by the most extensive characterization in the industry. The Human Protein Atlas project can be subdivided into three efforts: Human Tissue Atlas, Cancer Atlas, and Human Cell Atlas. The antibodies that have been generated in support of the Tissue and Cancer Atlas projects have been tested by immunohistochemistry against hundreds of normal and disease tissues and through the recent efforts of the Human Cell Atlas project, many have been characterized by immunofluorescence to map the human proteome not only at the tissue level but now at the subcellular level. These images and the collection of this vast data set can be viewed on the Human Protein Atlas (HPA) site by clicking on the Image Gallery link. We also provide Prestige Antibodies® protocols and other useful information.
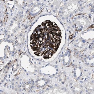
The gene OLFML2A (olfactomedin-like protein 2A) is mapped to human chromosome 9q33.3. It is expressed in glomerular podocytes. It belongs to the olfactomedin family.
Solution in phosphate-buffered saline, pH 7.2, containing 40% glycerol and 0.02% sodium azide
Olfactomedin-like protein 2A Precursor recombinant protein epitope signature tag (PrEST)
OLFML2A (olfactomedin-like protein 2A) is suggested to be involved in podocytes-mediated processes.
Prestige Antibodies® are highly characterized and extensively validated antibodies with the added benefit of all available characterization data for each target being accessible via the Human Protein Atlas portal linked just below the product name at the top of this page. The uniqueness and low cross-reactivity of the Prestige Antibodies® to other proteins are due to a thorough selection of antigen regions, affinity purification, and stringent selection. Prestige antigen controls are available for every corresponding Prestige Antibody and can be found in the linkage section. Every Prestige Antibody is tested in the following ways: •IHC tissue array of 44 normal human tissues and 20 of the most common cancer type tissues. •Protein array of 364 human recombinant protein fragments.
Corresponding Antigen APREST75400.
好评度 | 商品满意度 | 服务满意度 | 发货满意度 |
"HPA022254-100UL,Anti-OLFML2A antibody produced in rabbit"商品可能已被商家删除,您可查看其他相似商品!
相似产品推荐