服务电话(移):17319309550
Prestige Antibodies® Powered by Atlas Antibodies, affinity isolated antibody, buffered aqueous glycerol solution
Prestige Antibodies® Powered by Atlas Antibodies
primary antibodies
human
rabbit
polyclonal
unconjugated
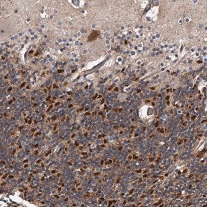
immunohistochemistry: 1:200- 1:500
human ... KCND3(3752)
Q9UK17
Solution in phosphate-buffered saline, pH 7.2, containing 40% glycerol and 0.02% sodium azide.
All Prestige Antibodies Powered by Atlas Antibodies are developed and validated by the Human Protein Atlas (HPA) project and as a result, are supported by the most extensive characterization in the industry. The Human Protein Atlas project can be subdivided into three efforts: Human Tissue Atlas, Cancer Atlas, and Human Cell Atlas. The antibodies that have been generated in support of the Tissue and Cancer Atlas projects have been tested by immunohistochemistry against hundreds of normal and disease tissues and through the recent efforts of the Human Cell Atlas project, many have been characterized by immunofluorescence to map the human proteome not only at the tissue level but now at the subcellular level. These images and the collection of this vast data set can be viewed on the Human Protein Atlas (HPA) site by clicking on the Image Gallery link. We also provide Prestige Antibodies® protocols and other useful information.
Solution in phosphate-buffered saline, pH 7.2, containing 40% glycerol and 0.02% sodium azide.
potassium voltage-gated channel, Shal-related subfamily, member 3 recombinant protein epitope signature tag (PrEST)
Prestige Antibodies® are highly characterized and extensively validated antibodies with the added benefit of all available characterization data for each target being accessible via the Human Protein Atlas portal linked just below the product name at the top of this page. The uniqueness and low cross-reactivity of the Prestige Antibodies® to other proteins are due to a thorough selection of antigen regions, affinity purification, and stringent selection. Prestige antigen controls are available for every corresponding Prestige Antibody and can be found in the linkage section. Every Prestige Antibody is tested in the following ways: •IHC tissue array of 44 normal human tissues and 20 of the most common cancer type tissues. •Protein array of 364 human recombinant protein fragments.
Corresponding Antigen APREST73293.
好评度 | 商品满意度 | 服务满意度 | 发货满意度 |
"HPA029452-100UL,Anti-KCND3 antibody produced in rabbit"商品可能已被商家删除,您可查看其他相似商品!
相似产品推荐