服务电话(移):17319309550
DeepBio得分:5567.2
DeepBio得分
是基于文献引用次数,影响因子,文献新近度等因素计算的客观产品评级,得分越高表明该产品经过越可靠的实验验证,质量可信度越高
NA.81
human aorta (normal, tunica intima and tunica media, fibrous plaque-free)
cell culture | mammalian: suitable
aortic wall contraction, role of smc under normal conditions, blood pressure, distribution of oxygenated blood through systemic circulation
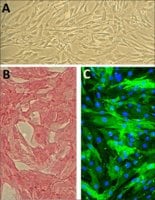
Human Aortic Smooth Muscle Cells (HAOSMC) provide an excellent model system to study all aspects of cardiovascular function and disease, especially those related to mechanisms of hyperplasia and hypertrophy of intimal smooth muscle cells leading to vascular occlusion in atherosclerosis and stent restenosis. HAOSMC have been utilized in dozens of research studies, for example, to:elucidate cytokines and growth factors signaling pathways implicated in the molecular regulation of smooth muscle cell proliferation, migration, and overall vascular function (Liu, 2009; Tan, 2009; Seymour, 2010; Chen, 2011; Hirase, 2013; Stein, 2013); •understand hyperglycemia-related risk factors for atherosclerosis in diabetes patients (Maier, 2010), as well as effects of ethanol on vascular calcification (Oros, 2012); •investigate extracellular elastic matrix deposition and its role in cardiovascular health, repair of damaged vasculature and successful tissue engineering (Gacchina, 2010, 2011; Venkataraman, 2012; Phillippi, 2013); •study mechanisms and effects of mechanoregulation on proliferation and function of smooth muscle cells (Jiang, 2009; Venkataraman, 2013, 2014), and develop advanced stent technology, including novel surface materials, and drug and gene delivery systems to prevent restenosis and other occlusive vasculopathies (Brito, 2010; Deshpande, 2013; Kakade, 2013; Lamichhane, 2013). Characterization: Positive for smooth muscle cell specific alpha-actin expression.
•3rd passage, >500,000 cells in Basal Medium containing 10% FBS & 10% DMSO •Can be cultured at least 16 doublings
Please refer to the HAOSMC Culture Protocol.
Aorta
Basal Medium containing 10% FBS & 10% DMSO
| 好评度 | 商品满意度 | 服务满意度 | 发货满意度 |
"354-05F,Human Aortic Smooth Muscle Cells: HAOSMC, fetal"商品可能已被商家删除,您可查看其他相似商品!
相似产品推荐
