服务电话(移):17319309550
DeepBio得分:5567.2
DeepBio得分
是基于文献引用次数,影响因子,文献新近度等因素计算的客观产品评级,得分越高表明该产品经过越可靠的实验验证,质量可信度越高
产品属性
|
退换货说明 : 客户退货,会在阿拉丁系统形成退货单,客服人员跟踪此退货单,直到退款完成。 |
产地 : 上海 |
别名 : 重组小鼠白细胞介素-3蛋白 | 重组小鼠 IL-3 蛋白 |
|
纯度 : 无动物源, Carrier Free, 生物活性, ActiBioPure™, High performance, ≥97%(SDS-PAGE) |
存储条件 : -20°C储存,干燥,避免反复冻融 |
包装参数 : 2μg |
产品名称:Recombinant Mouse IL-3 Protein
规格或纯度:无动物源, Carrier Free, 生物活性, ActiBioPure™, High performance, ≥97%(SDS-PAGE)
应用:SDS-PAGE, Cell Culture, Functional Studies
生物活性:Measured in a cell proliferation assay using NFS‑60 mouse myelogenous leukemia lymphoblast cells. The ED₅₀ for this effect is typically <100pg/mL.
纯度:>97%(SDS-PAGE)
氨基酸:33-166 aa
蛋白长度:Full length protein
无载体:Yes
无动物源:Yes
Accession #:P01586
预测分子量:15 kDa
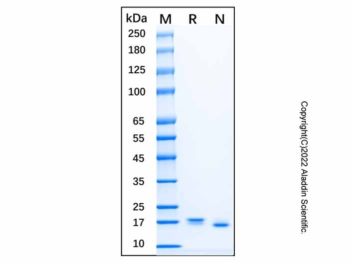
SDS-PAGE:16.5 kDa, under reducing conditions; 15.4 kDa, under non-reducing conditions.
级别:无动物源, 无载体, 生物活性, ActiBioPure™, 高性能
储存缓冲液:Lyophilized from a 0.2 μm filtered solution in PBS.
复溶:Reconstitute at 100 μg/mL in sterile PBS.
储存温度:-20°C储存,干燥,避免反复冻融
运输条件:超低温运输
稳定性与储存:自收到之日起 12 个月,-20 至 -70℃。1 个月,复溶后无菌条件下 2 至 8℃。3 个月,复溶后在无菌条件下 -20 至 -70℃。收货后建议分装。避免冻融循环。
Accession #:P01586
生物活性:Measured in a cell proliferation assay using NFS‑60 mouse myelogenous leukemia lymphoblast cells. The ED₅₀ for this effect is typically <100pg/mL.
>
Recombinant Mouse IL-3 Protein (rp154200)-Protein Bioactivity
Measured in a cell proliferation assay using NFS‑60 mouse myelogenous leukemia lymphoblast cells. The ED₅₀ for this effect is typically <100pg/mL
>
Recombinant Mouse IL-3 Protein (rp154200)-SDS-PAGE
3μg/lane of Recombinant Mouse IL-3 was resolved with SDS-PAGE under reducing (R) and non-reducing (N) conditions and visualized by Coomassie® Blue staining, showing a single band at 16.5 kDa.
查看阿拉丁官网此产品相关对应页面:https://www.aladdin-e.com/zh_cn/rp154200.html



| 好评度 | 商品满意度 | 服务满意度 | 发货满意度 |
"Recombinant Mouse IL-3 Protein,无动物源, Carrier Free, 生物活性, ActiBioPure™, High performance, ≥97%(SDS-PAGE),2μg"商品可能已被商家删除,您可查看其他相似商品!
相似产品推荐
