服务电话(移):17319309550
DeepBio得分:5567.2
DeepBio得分
是基于文献引用次数,影响因子,文献新近度等因素计算的客观产品评级,得分越高表明该产品经过越可靠的实验验证,质量可信度越高
产品属性
|
退换货说明 : 客户退货,会在阿拉丁系统形成退货单,客服人员跟踪此退货单,直到退款完成。 |
产地 : 上海 |
别名 : IL-4抗体 | 白细胞介素4抗体 | 白介素4抗体 | IL-4 抗体 |
|
纯度 : ExactAb™, Validated, 1.0 mg/mL |
存储条件 : -20°C储存,避免反复冻融 |
包装参数 : 50μl |
规格或纯度:ExactAb™, Validated, 1.0 mg/mL
特异性:IL-4
种属反应性:人(Human)
免疫原:A synthetic peptide derived from human IL4 (AA 91-104)
阳性对照:WB: Recombinant Human IL-4 protein, Human tonsil lysates.
偶联:Unconjugated
克隆类型:多克隆抗体
Format:Whole IgG
亚型:Rabbit IgG
SDS-PAGE:150 kDa
纯化方法:Protein A purified
物理外观:Liquid
储存缓冲液:10mM PBS, 150mM NaCl, 50% Glycerol, 0.05% BSA, 0.02% Sodium azide, pH 7.4
防腐剂:0.02% Sodium azide
浓度:1.0 mg/mL
储存温度:-20°C储存,避免反复冻融
运输条件:超低温冰袋运输
稳定性与储存:4°C 短期储存(1-2 周)。-20°C下长期保存(24个月)。交付时等分。避免冷冻/解冻循环。
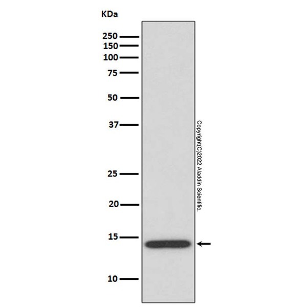
IL-4 Antibody (Ab110326) - Western Blot
All lanes: IL-4 Antibody (Ab110326) at 1/1000 dilution
Samples: Recombinant Human IL-4 protein (rp156008) at 20 ng per lane
Secondary: Goat Anti-Rabbit IgG H&L (HRP) (Ab170144) at 1/20000 dilution
Predicted band size: 17 kDa
Observed band size: 17 kDa
Exposure time: 1.0 s
IL-4 Antibody (Ab110326) - Western Blot
Western blot analysis of IL-4 in Human tonsil lysates using IL-4 Antibody (Ab110326).
查看阿拉丁官网此产品相关对应页面:https://www.aladdin-e.com/zh_cn/Ab110326.html
阿拉丁:推动发现,推进科学
在阿拉丁,我们将尖端科学与不懈的进步融合在一起。阿拉丁成立于2008年,以其卓越的试剂而闻名,从化学试剂、生化试剂、配体到蛋白质和抗体。我们拥有700多名员工,拥有多个生产工厂和研发中心,我们对卓越科学和产品质量的承诺坚定不移。(详细了解阿拉丁请点击: https://www.aladdin-e.com/zh_cn/about-aladdin)
化学创新的发源地:建筑面积28,000平方米的阿拉丁上海第一工厂。

阿拉丁生化进步的灯塔:阿拉丁第二工厂建筑面积36,000平方米,生产用于药物开发的必需砌块、生化试剂和配体。

阿拉丁美国运营中心:加强与国际市场的合作交流,推动阿拉丁在全球范围内的发展。

阿拉丁的研发中心:引领科技创新
阿拉丁在创新方面的投资,自2016年以来:阿拉丁建立了2个最先进的研发中心,以促进开创性研究和2个重点功能实验室。
(更多内容见: https://www.aladdin-e.com/zh_cn/rd_and_innovation)
化学研发中心(成立于2016年)投资:8000万元。重点:化学和药物化学领域的砌块、催化剂和配体。成就:独立合成了超过10000个构建块分子。

生物研发中心(成立于2021年)投资:1.2亿元。重点:蛋白质和抗体研发,采用哺乳动物瞬时表达和杂交瘤开发等平台。团队:由世界知名专家组成,包括免疫学家、化学家和生物化学家。

药物配体及靶点研发实验室(成立于2022年)投资:1500万人民币。重点:研究药物配体和靶标之间的相互作用,药物配体和化合物筛选工具开发,包括合成和表达更多配体的高通量自动化系统。

阿拉丁的品质承诺:建立试剂的黄金标准
在阿拉丁,质量不仅仅是一个基准——它是我们存在的本质。为什么质量对我们很重要:
产品卓越:我们坚定不移的奉献精神确保每件产品都发挥最佳性能,始终超出预期。
客户满意度:我们理解您对我们的信任,我们的使命是提供不仅满足而且提高您的标准的产品。
遵守监管:我们精心调整我们的流程和产品,使其符合严格的监管要求和标准,保证您的产品具有最高的完整性。
选择阿拉丁,您就选择了品质传承。浏览我们确保QC质量品质的世界级仪器:
深入研究分子细节:见证阿拉丁的400MHz核磁共振(NMR)波谱仪的力量揭示化合物错综复杂的结构细微差别。

提高研究精度:阿拉丁近千万元级仪器600MHz核磁共振波谱仪(NMR)

微观放大:阿拉丁最先进的日立场发射扫描电子显微镜(SEM)使研究人员能够在超结构水平上对固体物质的复杂形态和成分提供无与伦比的见解。

深入研究分子复杂性:阿拉丁的技术专家凭借精准度和专业知识,使用WATERS液相色谱-质谱仪(UPLC-MS),熟练地分离和破译复杂的有机混合物。

阿拉丁的质量体系:国际认证
我们对科学界的承诺不仅仅有言语上的支持。在阿拉丁,我们致力于提供无与伦比的产品和服务,并通过国际认可的认证得到加强:
·ISO 9001:2015认证 ——证明我们的质量管理体系。
·ISO 17025:2017认证 ——反映了我们在实验室运营方面的卓越表现。
·CNAS认证 ——肯定了我们实验室的管理体系、设备、人员素质、测试方法和技术能力。
·ISO 13485认证 ——这是对我们在生物产品如活性蛋白和抗体方面膜生产能力的认可。
阿拉丁蛋白和抗体生产中心:生物医学创新的未来
活性功能研究:在阿拉丁蛋白质表达实验室的范围内,先进的设备和专业知识汇聚在一起。在这里,我们经验丰富的科学家深入研究蛋白质表达和功能,开拓性突破并确保每次分析开发都体现生命科学领域精确性和可靠性的巅峰。


纯度和精确度的巅峰:阿拉丁的蛋白质纯化实验室是科学严谨和进步的灯塔。在这里,我们的专业人员利用尖端工具来分离和研究最纯净形式的蛋白质,确保我们的研究和成果始终满足生命科学领域清晰度和准确性的最高标准。利用精确的本质:阿拉丁的蛋白质纯化仪是现代生物技术创新的缩影。这种最先进的设备经过精心校准,能够以无与伦比的精度纯化蛋白质,确保我们的研究在广阔的生命科学领域保持在精度和可靠性的前沿。


精确解读蛋白质:在阿拉丁蛋白质印迹实验室的空间内,创新与专业知识相结合。我们的专家采用先进的技术和工具在分子水平上探测和分析蛋白质。这个空间证明了我们致力于理解蛋白质相互作用和表达,使我们处于生命科学研究和发现的前沿。
卓越保存:在阿拉丁最先进的冻干机中,我们强调冷冻干燥的完美性。我们的设备可保护生物样品的内在特性,以实现长期储存,突显了我们对研究诚信的奉献精神。


阿拉丁的蛋白质冻干实验室:在这里,我们将先进的冷冻干燥技术与深厚的专业知识相结合。我们的任务-确保蛋白质长时间保留其天然结构和功能,支持突破性的研究和应用。

在阿拉丁,我们的电融合和电穿孔系统是创新和精度的证明。在这个高科技领域,我们利用受控电脉冲实现无缝细胞融合,并将外源DNA引入细胞中。我们致力于开发先进的方法,确保获得准确、可重复的结果,从而实现基因研究和细胞研究的突破。
精密电穿孔:阿拉丁的电穿孔系统采用经过专业校准的电场,使细胞能够高效摄取DNA。这种先进的工具可确保可靠的遗传研究和变革性细胞研究。


阿拉丁的分子掌握:在我们的分子生物学实验室中深入了解基因和分子的复杂世界。利用尖端技术和工具,我们解读大自然最微小的蓝图,推动基因研究和生物技术创新的前沿发展。
捕捉看不见的事物:阿拉丁的激光共聚焦扫描显微镜(CLSM) 提供无与伦比的清晰度和深度的成像。借助精确的激光聚焦,我们的CLSM深入微观领域,揭示复杂的细节并解开细胞景观的秘密。


阿拉丁的流式洞察:走进我们的流式细胞术实验室,在这里细胞复杂性与高级分析相结合。在这里,单个细胞流动、被照亮并揭示其独特的特征,使我们能够获得精确的数据和深入的生物学理解。
揭示细胞动力学:在阿拉丁细胞功能实验室,我们深入研究复杂的细胞世界,探索它们的行为、相互作用和在更大系统中的作用。我们的团队利用最先进的设备,深入研究细胞功能的奥秘,为突破性的发现铺平道路。


细胞水平的联合:在阿拉丁细胞融合实验室的空间内,我们探索细胞组合的迷人领域。我们的专业团队利用尖端技术,研究融合细胞的机制、应用和潜力,加深我们的理解并实现新颖的生物医学创新。
精密筛选中心:在阿拉丁筛选实验室,我们专注于单克隆和杂交瘤细胞的细致筛选。我们的团队将专业知识与先进方法相结合,确保分离出优质细胞系,从而推动后续研究和应用的卓越发展。探索奉献精神与尖端技术的交叉点,以实现细胞的完美。


细胞卓越:阿拉丁细胞库精心保护重要细胞系,确保其寿命和保存。它是持续研究和科学完整性的基石。
精确可视化:阿拉丁的凝胶成像系统为研究人员提供了无与伦比的DNA和蛋白质可视化清晰度,提高了准确性并简化了分析。这是我们研究的清晰有效。


多功能性:阿拉丁综合实验室是各种研究活动的结合体,配备了最先进的工具。在这里,我们进行广泛的科学探索,确保每项研究都以精确性和可靠性为基础。
运动效率:阿拉丁落地式离心机可快速、精确地分离样品,从而实现一致的结果和优化的工作流程。这些坚固的机器体现了我们致力于快速、准确地推进研究的奉献精神。


精度与效率:阿拉丁的酶标仪使我们的研究人员能够快速、准确地读数。该工具专为高通量分析而设计,对于在我们的研究中获得无与伦比的一致性结果至关重要。
消毒中心:阿拉丁消毒室是我们清洁和安全的堡垒。它配备了先进的灭菌技术,可确保我们所有的工具和样品不受污染物的影响,维护我们对纯粹、不妥协的研究的承诺。


最佳生长环境:阿拉丁培养箱为培养和研究生物样本提供了理想的条件。通过精确的温度和气体控制,它们可以保证一致、可靠的结果,确保我们的研究在最好的环境中蓬勃发展。

紧凑高效:Aladdin 台式离心机以节省空间的设计提供快速、精确的样品分离。

精确清洗:Aladdin的微孔板清洗机可确保一致、彻底的板清洗,以获得最佳检测结果。

稳定运动:阿拉丁摇床可确保均匀混合,这对于一致的实验结果至关重要。
每个液滴的精确度:Aladdin的微滴式数字PCR(ddPCR) 提升了分子分析的标准,可对目标DNA进行超灵敏和绝对定量。我们的ddPCR利用液滴分配的力量,确保高精度检测和卓越的重现性,将研究准确性提升到新的高度。


精确扩增:我们的系列PCR系统在扩增过程中提供无与伦比的一致性和准确性。这些仪器配备了最新的热循环技术,专为实现最佳DNA复制和分析而设计。它们证明了阿拉丁致力于精确可靠地推进分子生物学研究。
重新定义卓越的细胞分选:阿拉丁的 BD FACSymphony?S6细胞分选仪代表了先进流式细胞术的巅峰。这款最先进的仪器具有无与伦比的准确性和广泛的多参数检测能力,简化了细胞分选过程并确保最大程度的样品完整性,是继 阿拉丁的600MHz核磁共振波谱仪(NMR)后购置的另一台近千万元级仪器,可配置多达50个参数,它非常适合复杂的研究应用,重申了我们对尖端科学的承诺。

| 好评度 | 商品满意度 | 服务满意度 | 发货满意度 |
"IL-4 Antibody,ExactAb™, Validated, 1.0 mg/mL,50μl"商品可能已被商家删除,您可查看其他相似商品!
相似产品推荐
