服务电话(移):17319309550
DeepBio得分:5567.2
DeepBio得分
是基于文献引用次数,影响因子,文献新近度等因素计算的客观产品评级,得分越高表明该产品经过越可靠的实验验证,质量可信度越高
产品属性
|
退换货说明 : 客户退货,会在阿拉丁系统形成退货单,客服人员跟踪此退货单,直到退款完成。 |
产地 : 上海 |
别名 : 草酰琥珀酸脱羧酶alpha抗体 |
|
纯度 : ExactAb™, 无载体, 已验证, 1.0 mg/mL |
存储条件 : -20°C储存,避免反复冻融 |
包装参数 : 50μl |
产品名称:IDH3A Antibody
规格或纯度:ExactAb™, 无载体, 已验证, 1.0 mg/mL
应用:WB, IHC
特异性:IDH3A
种属反应性:人(Human), 小鼠(Mouse), 大鼠(Rat), 牛(Cow), 猴(Monkey)
免疫原:KLH-conjugated synthetic peptide encompassing a sequence within the center region of human IDH3 alpha.
阳性对照:WB: Raji, HEK293, HeLa, NIH/3T3 and C6 cell lysates. IHC: Human lymph node tissue.
偶联:Unconjugated
克隆类型:多克隆抗体
Format:Whole IgG
亚型:Rabbit IgG
SDS-PAGE:150 kDa
纯化方法:Immunogen affinity purified
物理外观:Liquid
储存缓冲液:0.42% Potassium phosphate, 0.87% Sodium chloride, 30% Glycerol, 0.01% Sodium azide, pH 7.3
防腐剂:0.01% Sodium azide
浓度:1.0 mg/mL
储存温度:-20°C储存,避免反复冻融
运输条件:超低温运输
稳定性与储存:短期储存2-8℃(1-2周);长期储存-20℃(12个月);收货后建议分装,避免反复冻融。
宿主种属:兔(Rabbit)
种属反应性:人(Human), 小鼠(Mouse), 大鼠(Rat), 牛(Cow), 猴(Monkey)
偶联:Unconjugated
IDH3A Antibody (Ab109354) - Western Blot
All lanes: IDH3A Antibody (Ab109354) at 1/1000 dilution
Samples: Lysates at 20 µg per lane
Secondary: Goat Anti-Rabbit IgG H&L (HRP) (Ab170144) at 1/20000 dilution
Predicted band size: 40 kDa
Observed band size: 37 kDa
Exposure time: 11.0 s
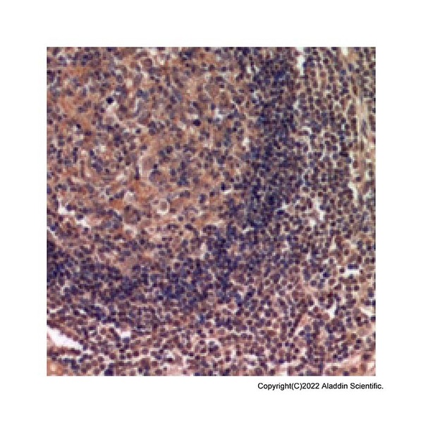
IDH3A Antibody (Ab109354) - IHC
Immunohistochemical analysis of IDH3 alpha staining in human lymph gland formalin fixed paraffin embedded tissue section. The section was pre-treated using heat mediated antigen retrieval with sodium citrate buffer (pH 6.0). The section was then incubated with IDH3A Antibody (Ab109354) at room temperature and detected using an HRP conjugated compact polymer system. DAB was used as the chromogen. The section was then counterstained with haematoxylin and mounted with DPX.
查看阿拉丁官网此产品相关对应页面:https://www.aladdin-e.com/zh_cn/Ab109354.html



| 好评度 | 商品满意度 | 服务满意度 | 发货满意度 |
"IDH3A Antibody,ExactAb™, 无载体, 已验证, 1.0 mg/mL,50μl"商品可能已被商家删除,您可查看其他相似商品!
相似产品推荐
