服务电话(移):17319309550
DeepBio得分:5567.2
DeepBio得分
是基于文献引用次数,影响因子,文献新近度等因素计算的客观产品评级,得分越高表明该产品经过越可靠的实验验证,质量可信度越高
产品属性
|
退换货说明 : 客户退货,会在阿拉丁系统形成退货单,客服人员跟踪此退货单,直到退款完成。 |
产地 : 上海 |
别名 : 酪氨酸蛋白激酶受体A7 |
|
纯度 : 无动物源,无载体,生物活性,ActiBioPure™,His标签,≥95%(SDS-PAGE) |
存储条件 : -20°C储存,避免反复冻融 |
包装参数 : 50μg |
产品名称:Recombinant Human EphA7 Protein
规格或纯度:无动物源,无载体,生物活性,ActiBioPure™,His标签,≥95%(SDS-PAGE)
应用:SDS-PAGE, Functional Studies
生物活性:Measured by its binding ability in a functional ELISA. When Recombinant Human (rh) EphA7 is coated at 2 μg/mL (100 μL/well), the concentration of biotinylayed rhEphrin-A4 Fc Chimera that produces 50% of the optimal binding response is found to be approximately 1.5‑6 ng/mL.
氨基酸:1-555 aa
无载体:Yes
无动物源:Yes
Accession #:Q15375
预测分子量:63.7 kDa
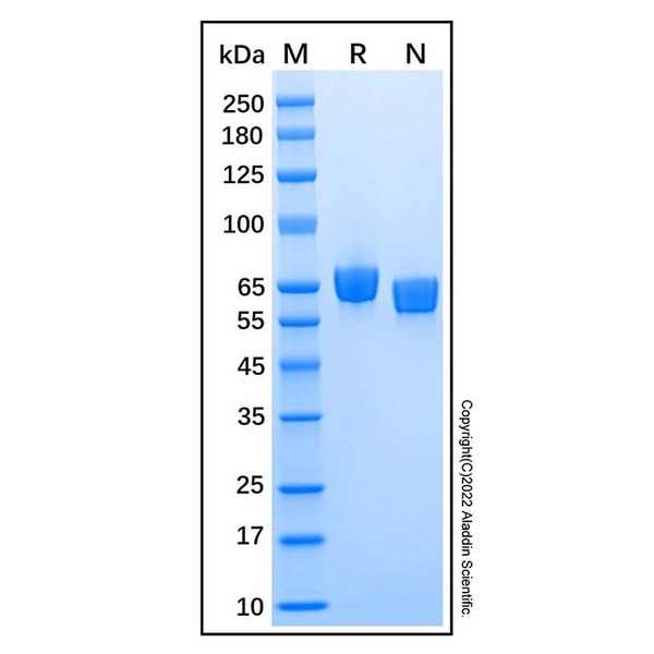
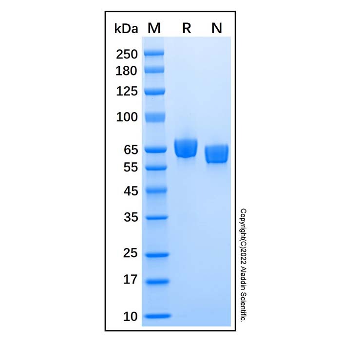
SDS-PAGE:60 - 70 kDa, under reducing conditions; 55 - 65 kDa, under non-reducing conditions.
级别:无动物源, 无载体, 生物活性, ActiBioPure™, His标签
储存缓冲液:Lyophilized from 10mM PBS, 5% Trehalose, 5% Mannitol, pH 7.4
复溶:Reconstitute in sterile water to a concentration of 0.1-0.5 mg/ml.
储存温度:-20°C储存,避免反复冻融
运输条件:超低温运输
稳定性与储存:在 -20~-80℃ 下可保存 1 年以上。收货后建议分装。避免冷冻/解冻循环。
Accession #:Q15375
生物活性:Measured by its binding ability in a functional ELISA. When Recombinant Human (rh) EphA7 is coated at 2 μg/mL (100 μL/well), the concentration of biotinylayed rhEphrin-A4 Fc Chimera that produces 50% of the optimal binding response is found to be approximately 1.5‑6 ng/mL.
Recombinant Human EphA7 Protein (rp145615) - SDS-PAGE
2 μg/lane of Recombinant Human EphA7 Protein was resolved with SDS-PAGE under reducing (R) and non-reducing (N) conditions and visualized by Coomassie® Blue staining, showing the band at 60 - 70 kDa under reducing conditions and 55 - 65 kDa under non-reducing conditions.
查看阿拉丁官网此产品相关对应页面:https://www.aladdin-e.com/zh_cn/rp145615.html



| 好评度 | 商品满意度 | 服务满意度 | 发货满意度 |
"Recombinant Human EphA7 Protein,无动物源,无载体,生物活性,ActiBioPure™,His标签,≥95%(SDS-PAGE),50μg"商品可能已被商家删除,您可查看其他相似商品!
相似产品推荐
